
前回につづき、病理組織像クイズです!
いずれも国試頻出の疾患なので、しっかり確認していきましょう!
【第7問】

▼正解はこちら!▼
【第7問】解答
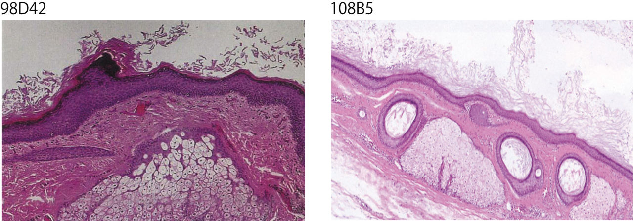
答えは「類皮嚢胞」です!

他の病理組織像も確認しましょう。

「類皮嚢胞」は皮膚付属器官を含みますが、付属器官を含まずに表皮のみからなるものは「類表皮嚢胞」でしたね。
「類表皮嚢胞」も確認してみましょう。

【第8問】

▼正解はこちら!▼
【第8問】解答
答えは「悪性リンパ腫」です!

悪性リンパ腫にはHodgkinリンパ腫と非Hodgkinリンパ腫がありますが、この病理組織像ではHodgkin細胞やReed-Sternberg細胞がみられないことから、非Hodgkinリンパ腫と考えられます。
また、病理組織像だけでは悪性リンパ腫の判断は難しいため、臨床所見や部位などの情報も参考にしましょう。
他の病理組織像も確認しましょう。

【第9問】

▼正解はこちら!▼
【第9問】解答
答えは「石灰化歯原性嚢胞」です!

他の病理組織像も確認しましょう。

【第10問】

▼正解はこちら!▼
【第10問】解答
答えは「腺腫様歯原性腫瘍」です!

他の病理組織像も確認しましょう。

【第11問】

▼正解はこちら!▼
【第11問】解答
答えは「扁平苔癬」です。

他の病理組織像も確認しましょう。

【第12問】

▼正解はこちら!▼
【第12問】解答
答えは「尋常性天疱瘡」です!

他の病理組織像も確認しましょう。

6つの疾患をしっかり答えられたでしょうか?
間違えた疾患があれば、改めて教科書などで確認してみましょう。
病理組織像クイズは次回が最後になります!